Neutropene Enterokolitis
T. Jäger, T. Leibold, S. Kerber, K.-P. Thon
Abteilung für Allgemein- und Viszeralchirurgie (Chefarzt Prof. Dr. Dr. h.c. K.-P. Thon) Robert-Bosch-Krankenhaus, Stuttgart
Hintergrund
- Typhlitis beschreibt eine Entzündung des Blinddarms
- Ist von einer Appendizitis abzugrenzen
- Betrifft Patienten mit hämatologischen Neoplasien im Rahmen der Chemotherapie-induzierten Neutropenie
- Bei Sepsis Letalität 50–100 %
Neutropene Enterokolitis

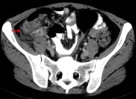
Abb.1: Neutropene Enterokolitis im Zökum (Typhlitis). Zirkuläre Wandverdickung (Pfeil) mit Reaktion des umliegenden Gewebes.
Neutropene Enterokolitis

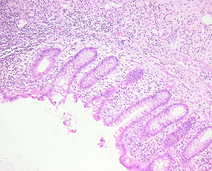
Abb.2: Histologisches Präparat der Appendixschleimhaut ohne Entzündungszeichen.
Neutropene Enterokolitis

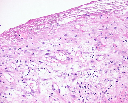
Abb.3: Histologisches Präparat der Appendixwand mit Fibrinauflagerungen als Zeichen einer Periappendizitis im Rahmen einer Typhlitis.
Neutropene Enterokolitis

Neutropene Enterokolitis

Neutropene Enterokolitis

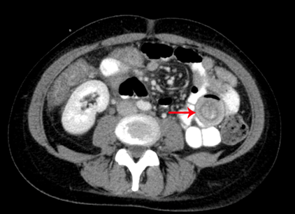
Abb.4: Neutropene Enterokolitis im Jejunum. Typisches Bild eines Target Zeichens (Pfeil). Kontrastmittelaufnahme der Mukosa und ödematöse Wandverdickung.
Schlussfolgerung
- Klinische Unterscheidung Typhlitis - Appendizitis schwierig
- Therapeutische Vorgehen wird kontrovers diskutiert
- Chirurgische Therapie bei Progredienz, Perforation, Blutung oder Abszedierung